Ортодонтия
Задачей для человека, принявшего решение обратиться к специалисту для устранения имеющейся у него проблемы с зубочелюстным аппаратом, является выбор хорошего врача-ортодонта. Ведь именно от его грамотных действий во многом зависит успех лечения.
Пациенту важно понимать, что исправление имеющегося у него дефекта займет не 1—2 недели, а растянется на месяцы и годы. Об этом ортодонт обычно предупреждает на первом приеме, озвучивая примерный срок лечения, исходя из вида дефекта. Продолжительность коррекции в первую очередь зависит от методики, предложенной специалистом на основании выполненной диагностики. Обычно предлагается несколько способов исправления патологии, но окончательное решение остается всегда за пациентом.
Подробный план коррекционных действий озвучивается после получения и анализа результатов всех обследований. Также невозможно точно указать сроки лечения и итоговую стоимость — все называемые цифры ориентировочные. При осмотре выполняется фотосъемка, позволяющая точнее конкретизировать проблемную зону, и при последующем лечении является примером для сравнивания состояния до и после лечения.
Наш врач ортодонт, Елисеева Юлия Андреевна оказывает квалифицированную медицинскую помощь по своей специальности, используя современные методы профилактики, диагностики, лечения, разрешенные в медицинской практике. На основании клинических наблюдений и обследования, сбора анамнеза, данных клиниколабораторных исследований устанавливает диагноз. Владеет навыками работы с разной съемной и несъемной аппаратурой. Работает всеми видами брекет-систем. Проводит прямую и непрямую фиксацию брекет-систем

Работает под увеличением.

Работает в команде со стоматологами терапевтами, гигиенистами, пародонтологами, хирургами и ортопедами.
Участвует во многих семинарах,конференциях,профессиональных обединениях.
(с сертификатами Вы можете ознакомиться на сайте)
В 2021 году упешно закончила практический курс С.А.Блума «Композитный протокол. Эстетика и функция» г.Санкт Петербург. Получила статуэтку звезды в номинации «Лучшие восковые бугры»


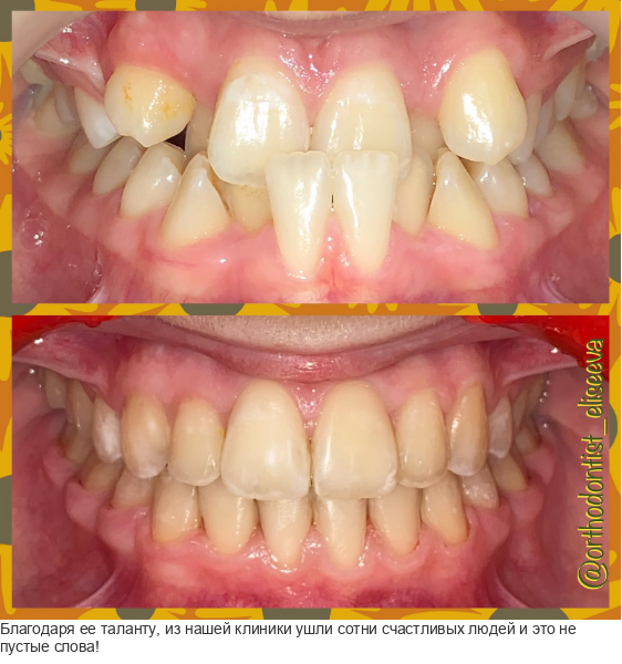
Лучший способ получения достоверной и исчерпывающей информации о качестве и особенностях работы врача – это увидеть результаты его трудов. В данном разделе Вы увидите фото реальных работ и сами убедитесь в том,что сделали правильный выбор,обратившись в нашу клинику.













В нашей клинике сделают все, чтобы Вашей идеальной улыбкой восхищались окружающие!
Для полноценной консультации необходимо подойти со снимками:
⦁ Дети до 10лет-ОПТГ
⦁ С 10 до 13лет –ОПТГ+ТРГ в боковой проекции
⦁ С 13лет и до 99+ КЛКТ обеих челюстей+ТРГ в боковой проекции
Рабочая страница в instagram @orthodontist_eliseeva

